자궁근종 증상 자세히 알아보기



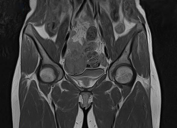
자궁근종(Uterine fibroids)은 여성의 자궁 내에 발생하는 양성 종양으로, 자궁 내막이나 근층에서 생길 수 있습니다. 대부분의 경우, 이 종양은 악성 종양이 아니며, 치료하지 않아도 괜찮은 경우가 많습니다. 그러나 증상이 심한 경우, 치료가 필요할 수 있습니다. 자궁근종의 증상은 그 크기와 위치에 따라 다릅니다. 아무런 증상이 없는 경우도 있지만, 대개는 다음과 같은 증상을 보일 수 있습니다.
출혈



자궁근종은 생리 주기 동안 출혈을 촉진시키므로 생리 기간 동안 출혈량이 많아지고, 생리 기간이 길어질 수 있습니다. 또한, 생리 주기가 불규칙하거나 경도의 출혈이 일어날 수 있습니다.
생리통



자궁근종의 위치나 크기에 따라 생리통을 유발할 수 있습니다. 근종이 자궁벽에 가깝게 위치하거나 크면 생리통이 더욱 심해질 수 있습니다.
복통



자궁근종이 자궁 내부를 차지하여 자궁 내부 압력이 증가할 때 복통이나 불쾌감을 유발할 수 있습니다.
불임



자궁근종은 임신을 방해할 수 있습니다. 근종이 자궁 내부에 있으면 정상적인 배아의 발달을 방해할 수 있으며, 이로 인해 임신이 되지 않을 수 있습니다.
항문 압박



자궁근종이 항문에 가깝게 위치하면서 항문을 압박할 수 있으며, 이 경우 변비, 항문 통증 등의 증상을 유발할 수 있습니다.
방광 압박



자궁근종이 커지면 방광을 압박하여 방광의 기능이 저하될 수 있습니다. 이 경우 방광을 비우는 데 어려움이 생길 수 있습니다.
다리 부종
자궁근종이 커지면서 자궁과 인접한 혈관을 압박하여 다리 부종을 유발할 수 있습니다.
소변과 대변의 문제



자궁근종이 항문과 방광을 압박하면, 소변과 대변을 보는 데 어려움이 생길 수 있습니다. 변비와 소변 장애, 항문 출혈 등의 증상을 유발할 수 있습니다.
복부 팽만
자궁근종이 커지면서 복부가 팽만해지는 경우가 있습니다.
불안감



자궁근종이 크거나 증상이 심각할 때, 불안감이 생길 수 있습니다. 이는 자궁근종이 부작용을 유발할 수 있는 약물을 포함한 다양한 치료 방법이 있기 때문입니다.



위와 같은 증상이 나타날 경우 의사와 상담하여 적절한 치료 방법을 선택해야 합니다. 치료 방법은 자궁근종의 크기, 위치, 증상 등에 따라 달라질 수 있으며, 대개의 경우 증상 완화와 근종 크기 축소를 위해 치료를 시도합니다.



자궁근종의 치료 방법으로는 약물 치료, 수술, 비침습적 절제술 등이 있습니다. 약물 치료는 자궁근종의 크기를 축소시키는 목적으로 사용되며, 경구 투여나 주사 등으로 적용될 수 있습니다. 수술은 자궁근종을 제거하는 수술로 대개 자궁 축소술이나 자궁적출술 등이 사용됩니다. 비침습적 절제술은 자궁근종의 혈액 공급을 차단하여 근종 크기 축소를 유도하는 방법으로, 자궁동맥동결술, 초음파 유도하 고강도 집속초음파(자궁동맥소작술), 대동맥 삽입술 등이 사용됩니다.



자궁근종은 어떤 경우 심각한 증상을 유발할 수 있으므로, 빠른 시일 내에 전문가와 상담하여 적절한 치료 방법을 선택하고, 치료를 받아야 합니다.
과민성 대장증후군 증상 총정리
과민성 대장증후군 증상 총정리 과민성 대장증후군은 대장 내부의 기능 이상으로 인해 복통, 변비, 설사 등의 증상이 지속되는 신경-장기질환입니다. 증상은 대개 장기능에 이상이 없는 경우에
wjdqhakstp.goodtory.kr
구강암 초기증상 자세히 알아보기
구강암 초기증상 자세히 알아보기 구강암은 입, 혀, 입술, 무치, 인중, 경구선 등 구강 내에서 발생하는 악성 종양으로 종양의 크기, 확산 여부 그리고 초기 치료 여부에 따라 생존율이 크게 영향
wjdqhakstp.goodtory.kr
뇌출혈 전조 증상 자세히 알아보기
뇌출혈 전조 증상 자세히 알아보기 뇌출혈은 뇌안에 있는 혈관에서 출혈이 발생하여 뇌조직이 손상을 입는 질환이며, 중증의 뇌혈관질환 중 하나입니다. 일반적으로 고혈압, 동맥류, 혈관 기형,
wjdqhakstp.goodtory.kr
'건강생활' 카테고리의 다른 글
| 빈혈에 좋은 음식 12가지 총정리 (0) | 2023.03.15 |
|---|---|
| 골다공증에 좋은 음식 총정리 (0) | 2023.03.15 |
| 전립선에 좋은 음식 총정리 (0) | 2023.03.14 |
| 협심증 초기증상 자세히 알아보기 (0) | 2023.03.14 |
| 수면 무호흡증 증상 원인 치료 예방 총정리 (0) | 2023.03.14 |
댓글