본문 바로가기
건강생활

기흉이란? 증상 치료방법 자세히 알아보기

by 얍얍이만세 2023. 3. 17.
반응형

기흉이란? 증상 치료방법 자세히 알아보기

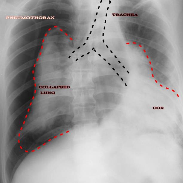
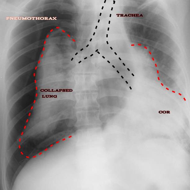
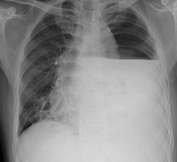
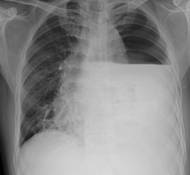
기흉(pneumothorax)은 폐와 흉부벽 사이에 공기가 쌓이는 상태를 말합니다. 이는 폐가 공기로 가득 차면서 폐가 축소되고 압축되어 발생합니다. 이러한 압축으로 인해 폐의 기능이 저하되며 호흡 곤란, 가슴 통증 등의 증상을 유발할 수 있습니다.

종류와 원인

외상성 기흉 원인 바와상성 기흉 원인
강한 충격이나 외상으로 인해 폐에 손상이 생길 때
폐를 관혈적으로 채취하거나 기관지 내시경 검사 시 발생할 수 있는 합병증
수술 중에 폐에 손상이 생길 때
폐 기형, 폐부종증, 호흡기 질환 등 폐의 질환으로 인해 발생할 때
흉곽 외상이나 비외과 수술 중에 발생할 수 있는 합병증
지속적인 폐 출혈로 인한 공기 쌓임
폐암이나 폐색증 등과 같은 질환으로 인해 폐조직이 파괴되어 공기가 쌓이는 경우

기흉은 크게 외상성 기흉과 비외상성 기흉으로 나눌 수 있습니다. 외상성 기흉은 외상이나 사고 등으로 인해 폐에 손상이 생기거나 뚫리면서 공기가 쌓이는 것이며, 비외상성 기흉은 폐의 질환으로 인해 공기가 쌓이는 것입니다. 비외상성 기흉은 폐기종증, 천식 등 다양한 원인에 의해 발생할 수 있습니다.

 

주요 증상

 

호흡 곤란

기흉으로 인해 폐에 공기가 누출되면 폐의 기능이 저하되어 호흡 곤란을 경험할 수 있습니다. 특히 기흉이 심하거나 길게 지속되는 경우 호흡이 어려울 수 있습니다.

 

가슴 통증

기흉으로 인해 가슴의 압력이 변화되어 가슴 통증을 경험할 수 있습니다. 특히, 기흉이 갑작스럽게 발생하거나, 길게 지속되는 경우 가슴 통증이 더욱 심해질 수 있습니다.

삼각부(어깨 아래 쪽) 등의 통증

기흉으로 인해 폐가 이동하여 주변 조직에 압력이 가해지면, 어깨 아래 쪽 부위 등에서 통증을 경험할 수 있습니다.

 

코등(경련, 갑작스러운 쇠약 등)

기흉으로 인해 일시적으로 뇌에 산소 공급이 불충분해지면, 코등, 경련, 갑작스러운 쇠약 등의 신경학적 증상을 경험할 수 있습니다.

두통, 어지러움, 혼돈 등의 신경학적 증상(희귀)

기흉으로 인해 일시적으로 뇌에 산소 공급이 불충분해지면, 두통, 어지러움, 혼돈 등의 신경학적 증상을 경험할 수 있습니다. 하지만 이러한 증상은 기흉이 흔하게 발생하는 경우는 매우 드물며, 일반적으로 심각한 증상이라고 볼 수는 없습니다.

 

기흉 진단

신체 검사

의사는 폐의 소리와 삼차원 구조를 직접 체크하여 기흉을 진단합니다. 의사는 대개 청진기를 사용하여 폐에서 들리는 소리를 듣고, 누출된 공기로 인해 폐의 위치가 변경되었는지 확인합니다.

 

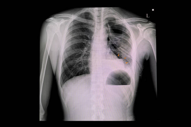
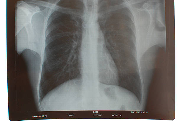
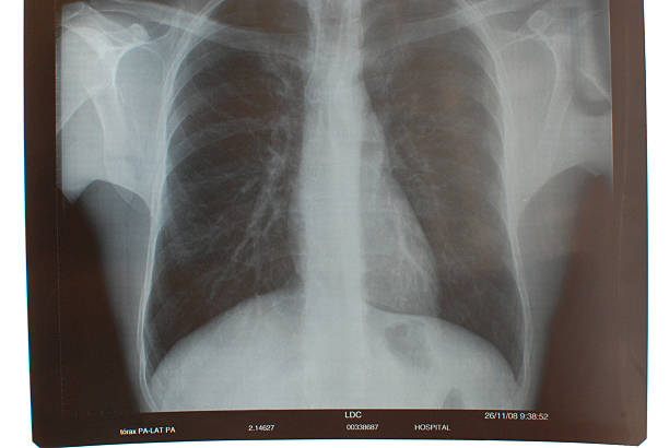
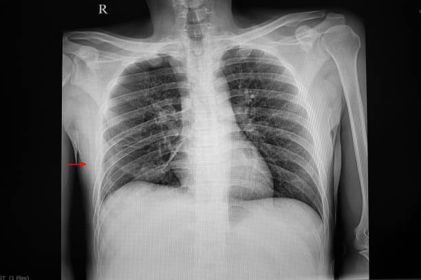
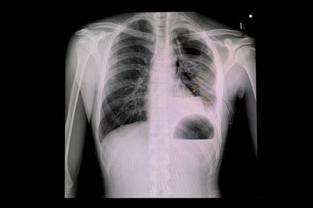
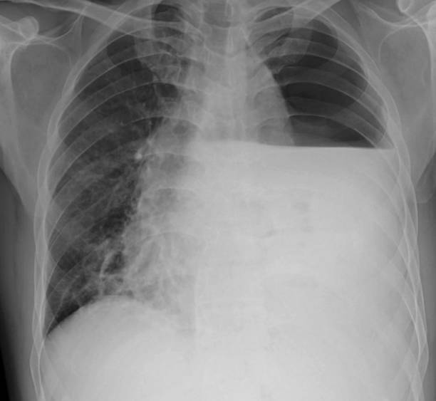
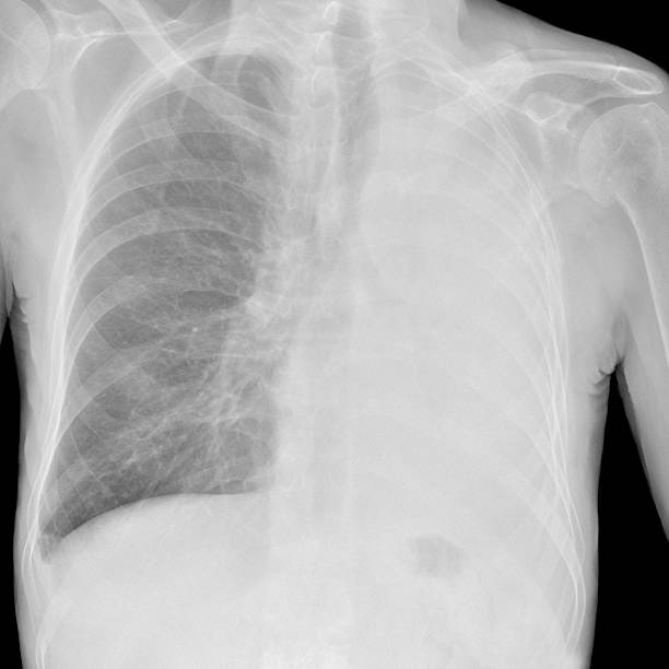
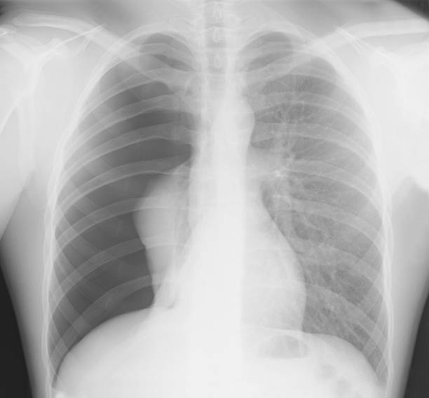
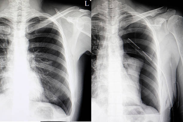
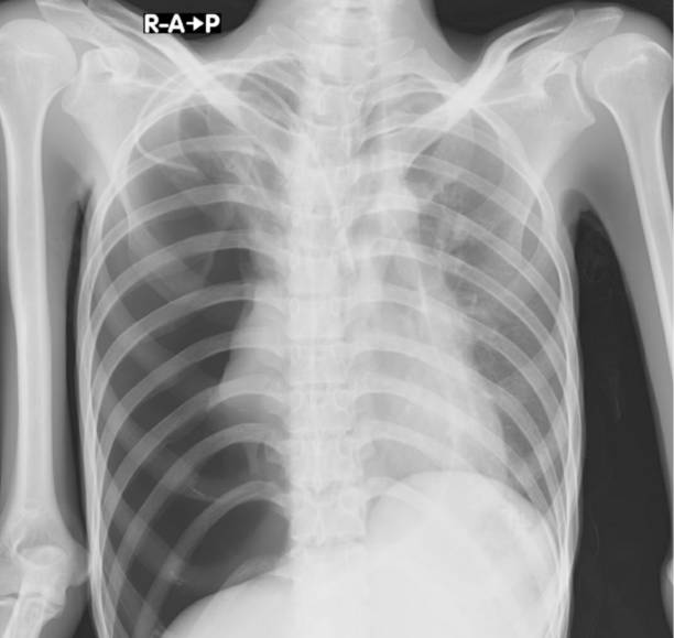
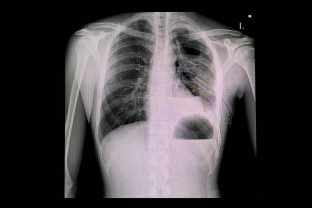
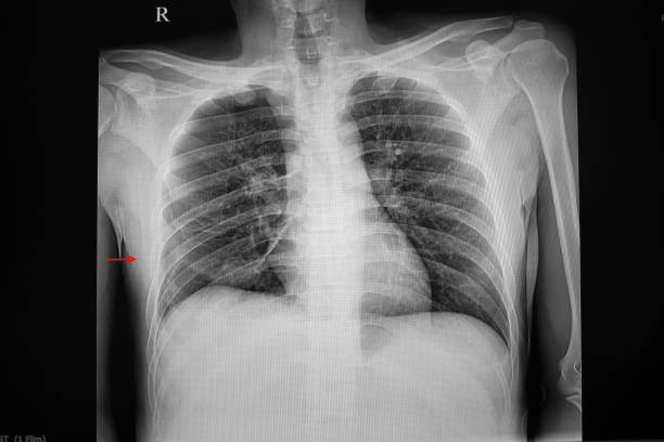
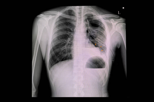
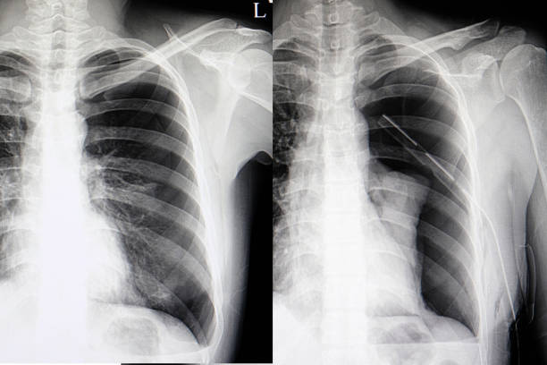
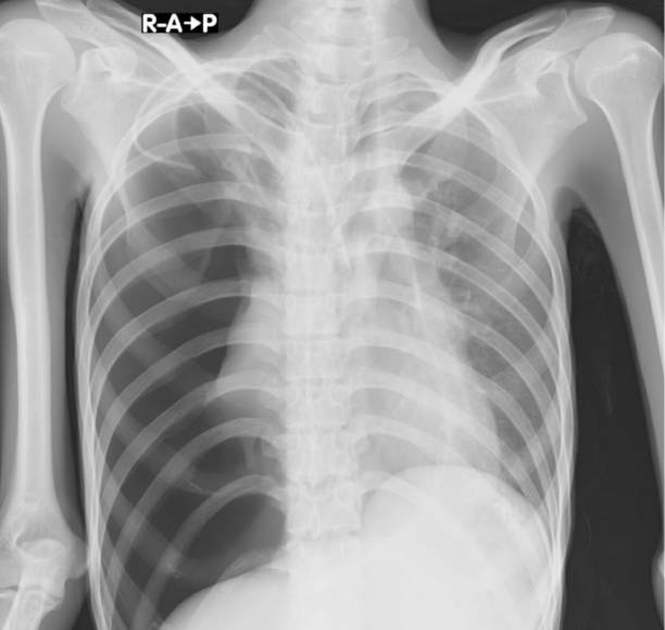
흉부 X선 검사

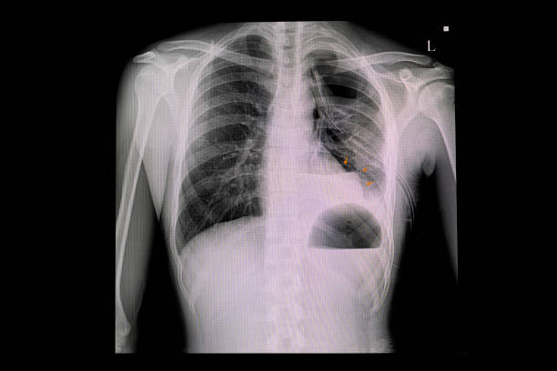
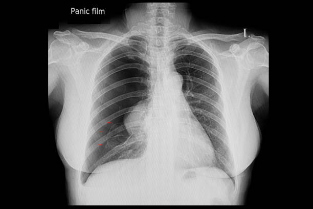
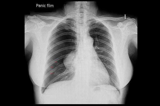
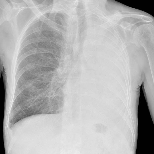
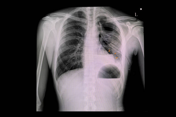
기흉이 의심되는 환자에게는 흉부 X선 검사를 실시하여 기흉이 있는지 확인할 수 있습니다. 이 방법은 비교적 쉽고 빠르게 기흉을 진단할 수 있습니다.

초음파 검사

초음파 검사는 X선 검사와 비슷한 방법으로 사용됩니다. 이 방법은 폐 뿐만 아니라 심장, , 췌장 등 다른 장기도 검사할 수 있으며, 기흉의 정확한 위치를 파악할 수 있습니다.

 

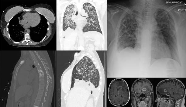
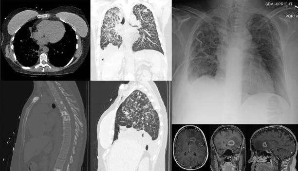
CT 스캔 검사

CT 스캔 검사는 폐의 3D 영상을 생성하여 누출된 공기가 있는 위치와 기흉의 원인을 파악할 수 있습니다.

기관지 내시경 검사

기관지 내시경 검사는 기흉의 원인이 기관지와 관련된 경우에 실시됩니다. 이 검사는 기관지의 상태를 직접 확인하고, 기관지의 내부에 이물질이 있는지 확인할 수 있습니다

 

치료

산소 치료

폐의 기능이 저하된 경우, 산소 치료를 시행하여 호흡을 돕고 산소 공급을 보강하는 것이 필요할 수 있습니다.

 

약물 치료

기흉의 원인이 악성 종양, 감염, 천식 등의 호흡기 질환일 경우, 약물 치료가 필요합니다. 예를 들어, 기흉의 원인이 천식인 경우에는 기관지 확장제를 사용하여 기관지를 확장시키고, 기흉 발생을 예방하는 것이 필요합니다.

기흉 배출술

기흉이 심한 경우에는 기흉 배출술을 시행하여 기흉으로 인해 폐에 공기가 누출된 부위의 압력을 낮추고, 기흉을 완화시키는 것이 필요할 수 있습니다. 이는 침습적인 방법으로, 폐를 누르는 압박을 가하거나 기흉이 발생하는 부위를 찾아내어 치료하는 것입니다.

 

수술

기흉이 반복되거나 중등도 이상의 기흉일 경우에는 수술이 필요할 수 있습니다. 수술은 기흉을 유발하는 폐의 문제를 해결하거나, 기흉이 발생한 부위에 대해 치료하는 것을 목적으로 합니다

 

예방

 

담배를 피우지 않기

담배를 피우는 경우 기관지를 자극하여 기관지 경련을 일으켜 기흉을 유발할 수 있습니다. 따라서 담배를 피우지 않는 것이 가장 중요한 예방 방법 중 하나입니다.

 

환경 오염을 피하기

환경 오염물질은 기관지를 자극하여 기흉을 유발할 수 있습니다. 따라서 대기 오염이 심한 지역에서는 마스크를 착용하거나 실내에 머무는 것이 좋습니다.

호흡기 질환을 예방하기 위해 적절한 예방 조치를 취하기

호흡기 질환은 기흉을 유발할 수 있는 주요 원인 중 하나입니다. 따라서 호흡기 질환을 예방하기 위해 적절한 예방 조치를 취하는 것이 중요합니다. 이를 위해서는 항생제 및 스테로이드와 같은 약물을 신중하게 사용하고, 불필요한 외출은 피하며, 손 씻기와 마스크 착용 등의 개인 위생에 유의해야 합니다.

 

체중을 관리하고 규칙적인 운동을 유지하기

비만은 호흡기 문제를 유발하는 주요 요인 중 하나입니다. 따라서 체중을 관리하고 규칙적인 운동을 유지하여 비만을 예방하는 것이 중요합니다.

건강한 식습관 유지하기

건강한 식습관을 유지하여 체력을 유지하는 것은 기흉 예방에도 도움이 됩니다. 특히 과다한 알코올 섭취는 기흉을 유발하는 요인 중 하나이므로, 적절한 양의 알코올을 섭취하는 것이 좋습니다.

겨드랑이 멍울 생기는 원인 총정리

 

겨드랑이 멍울 생기는 원인 총정리

겨드랑이 멍울 생기는 원인 총정리 겨드랑이에 멍울이 생기는 경우, 종종 양성 종양이나 염증성 질환 등으로 인한 경미한 이상일 수 있지만, 종종 악성 종양의 초기 증상일 수도 있습니다. 따라

wjdqhakstp.goodtory.kr

목이 간질간질하고 마른기침이 납니다 이유 총정리

 

목이 간질간질하고 마른기침이 납니다 이유 총정리

목이 간질간질하고 마른기침이 납니다 이유 총정리 목이 간질간질하고 마른 기침은 식도역류, 천식, 만성 기침 등 다양한 원인으로 인해 발생할 수 있습니다. 이러한 증상은 일상 생활에서 매우

wjdqhakstp.goodtory.kr

생리 주기 계산 생리가 늦어지는 이유 알아보기

 

생리 주기 계산 생리가 늦어지는 이유 알아보기

생리 주기 계산 생리가 늦어지는 이유 알아보기 생리 주기를 계산하는 이유는 여성의 건강을 지키기 위해서입니다. 생리 주기는 여성의 생식기능과 건강 상태를 나타내는 지표 중 하나로, 주기

wjdqhakstp.goodtory.kr

시나몬 가루와 계피 차이 자세히 알아보기

 

시나몬 가루와 계피 차이 자세히 알아보기

시나몬 가루와 계피 차이 자세히 알아보기 시나몬 가루와 계피를 구분하는 이유는 주로 안전 문제와 맛의 차이입니다. 시나몬 가루는 대개 치즈케이크, 파이, 쿠키 등 디저트류의 재료로 사용됩

wjdqhakstp.goodtory.kr

 

반응형

댓글