통풍 증상 치료법 해로운 음식 자세히 알아보기
통풍 증상 치료법 해로운 음식 자세히 알아보기



안녕하세요 오늘은 통풍 증상에 대해 알아보고자 합니다. 통풍은 원래는 중장년 남성들에게서 많이 나타나던 질병이었지만 최근에는 서구화된 식습관으로 인해 20, 30대 통풍환자가 늘고 잇으며 2020년 통계로 볼 때 통풍환자는 46만명으로 2012년에 비해 75% 증가했다고 합니다. 통풍은 한자어 그대로 바람 ‘풍’에 아플 ‘통’자를 쓰는데 이유는 바람만 스쳐도 아픈 병이기 때문에 이름을 잘 옮겨 놓은 병이기도 합니다.
통풍 알아보기



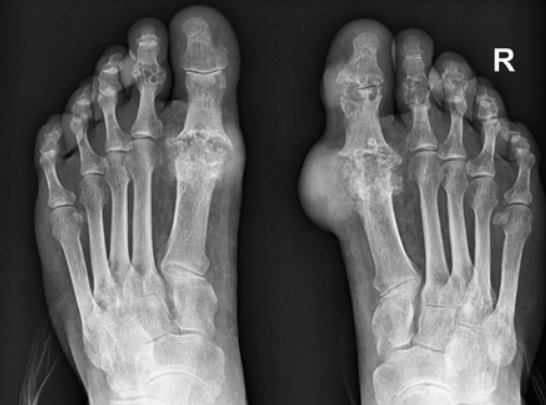
통풍이란 질병은 몸 속 요산이라는 물질이 쌓이면서 그 요산이 우리 몸에서 염증 반응을 일으켜 몸에서 관절염과 심한 통증, 또 콩팥이 망가지는 질환이자 자가 염증질환으로 알려져 있으며 주로 발가락, 발등과 같은 관절에 나타나 통풍이 생긴 경우 다리를 절단하고 싶을 정도로 아주 극심한 통증을 유발하는데 더 무서운 점은 치료시기를 놓치면 말기신부전, 뇌졸중, 심근경색 등 생명을 위협할 수 있는 합병증을 유발합니다.
통풍 증상



통풍 증상 원인과 관련하여 가장 많이 등장하는 물질은 ‘요산’으로 이 ‘요산’이 체내에 과다하게 쌓이면 통풍이 오게되는데 이 ‘요산’은 소변으로 나오는 산성물질이라는 의미로 고기나 생선류에서 많이 들어있는 필수아미노산 중 하나인 퓨린이 에너지로 사용되고 소변을 통해 찌꺼기 형태로 나가는 형태인데 적당한 시기에 체외로 배출을 하지 못한다면 이 요산과 나트륨이 결합하여 요산염 나트륨으로 화학적 결합을 하게됩니다.



이 화학적 결합은 체내 백혈구가 세균이나 바이러스로 인식해 잡아먹는데 이 과정에서 백혈구 안에 있는 염증 반응 물질을 터트리며 백혈구 속 염증 반응 물질이 지속적으로 터져 아주 심하게 염증과 통증을 느끼게 되는 것입니다. 따라서 우리 식습관과 밀접한 연관이 있는 통풍은 주로 새우젓, 동물내장 등 퓨린이 많은 들어간 음식을 즐긴다거나 맥주 등을 즐겨 요산 배출 장애가 발생하면 통풍에 걸리게 됩니다.

통풍 증상은 그 시기에 따라 고요산혈증, 급성 통풍성 관절염, 간헐기 통풍 등 3가지 단계로 나눌 수 있으며 전형적 증상은 갑자기 엄지발가락 부위가 조금 뻐끈하다는 느낌으로 시작하며 이 부위가 급격히 붓고 통증이 심해지면 관절 주변 피부가 일어나면 열감이 느껴지고 종국에는 신발을 신을 수 없을 정도로 극심한 통증을 겪게 됩니다.



고요산혈증은 혈중 요산 농도가 상승되어 있기 때문에 발생하는데 통상 통풍 증상은 나타나지 않으며 무증상으로 나타나는 경우는 운이 좋으면 평생 증상이 나타나지 않는다고 하는데 그렇다하더라도 고지혈증, 고혈압과 같은 심혈관 질환이 동반될 수 있습니다.



급성 통풍성 관절염은 한 개 관절에서만 나타나는데 아무래도 그 부위는 엄지발가락에서 나타나며 발 관절인 발등, 발목, 무릎 그리고 나아가서는 손목에서도 나타납니다. 통풍이 발현하면 10일 정도 지속되는데 완화가 되더라도 재발 및 악화되는 경우가 있어 치료를 받아야 합니다. 간헐기 통풍은 일반적으로 6개월에서 2년 사이 두 번째 발작이 나타나는데 통풍 발작은 치료를 받지 않으면 그 가능성이 높아져 시간이 지나면 여러 관절들로 퍼질 수 있어 반드시 치료를 받아야 하며 평상시 요산 수치를 조절해야 합니다.
통풍 치료법



통풍 치료는 그 발병원인에 따라 치료방법이 달라지는데 반복해서 재발, 과거 가족력, 요로 결석 치료 이력, 콩팥 기능에 따라 치료 방향이 달라진다고 합니다. 통상적 치료는 통풍 주요 원인인 요산 수치를 떨어뜨리는데에서 시작하는데 요산 생성을 억제 혹은 요산 배출을 늘리는 식으로 요산 수치를 떨어뜨리는데 집중하는데 사실 이렇다하더라도 재발 가능성이 있어 고혈압과 같이 대사질환으로 관리해야 합니다.
통풍에 해로운 음식

따라서 요산수치를 내려 치료를 잘 받더라도 생활습관을 개선하지 않으면 재발가능성이 높아 금주는 물론, 소고기, 돼지고기 등의 붉은고기류, 조개, 어패, 새우류의 단백질 섭취, 탄산음료 및 맥주음료 등의 식단을 피하는 것이 중요합니다.
+ 함께 읽으면 좋은 글들 +