통풍 증상 원인 치료방법 자세히 알아보기



통풍은 요산이 너무 많아져서 혈액 내에 결정으로 축적됨으로써 발생하는 대사성 질환입니다. 요산은 일반적으로 신장을 통해 체내에서 배출되지만, 신장 기능이 저하되거나, 요산 생성이 과다한 경우에는 요산이 혈액 내에 축적되어 결정으로 형성됩니다. 이 결정이 관절 부위에 쌓이면 염증이 발생하여 통풍이 발생합니다. 따라서 상당히 고통스러운 통풍에 대해 보다 자세히 알아보기 위하여 원인, 증상, 치료방법 등을 자세히 알아보겠습니다.
통풍 원인
요산 대사의 이상



통풍은 요산이 몸 속에서 비정상적으로 쌓이면서 발생할 수 있습니다. 이는 대개 신장이 요산을 배출하는 기능에 이상이 생긴 경우나, 식습관이나 유전적인 원인으로 인해 요산 대사에 이상이 생긴 경우에 나타납니다.
유전적 요인
통풍은 가족력이 있는 사람들에서 더 많이 나타납니다. 가족력이 있는 경우, 요산 대사의 이상이나 신장 문제와는 무관하게 통풍이 발생할 가능성이 높아집니다.
비만



비만인 경우, 요산이 몸 속에 더 많이 생산되고 배출되지 않을 가능성이 높아져서 통풍이 발생할 확률이 높아집니다.
알코올과 고지방 음식 섭취
알코올이나 고지방 음식을 많이 섭취하면 요산 대사가 방해되고, 통풍 발생 가능성이 높아집니다.
부종



부종은 몸 속에 물이 과다하게 쌓이는 것으로, 신장 기능에 문제가 있는 사람이나 다리나 발목 부위에 부종이 있는 사람들은 요산 배출이 어렵고, 통풍 발생 가능성이 높아집니다.
약물 섭취
일부 약물은 요산 대사에 영향을 주고, 통풍을 유발할 수 있습니다. 예를 들어, 이뇨제나 아스피린 등을 장기간 복용하는 경우, 요산 배출이 어려워져 통풍이 발생할 가능성이 높아집니다.
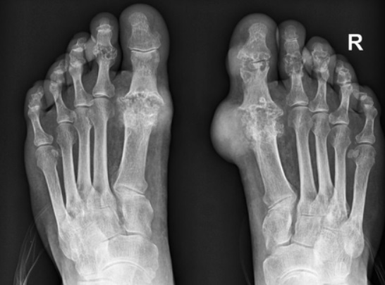
통풍 증상
급성 통풍 발작



급성 통풍 발작은 갑작스럽게 발생하며, 대개 하루 이내에 최대 발생점에 도달합니다. 발작이 발생하면 통증이 극심하게 시작되고, 발적 부위는 붉고 따끔거리며 따끔거리고, 적출물로 인해 부어오릴 수 있습니다.
만성 통풍



만성 통풍은 급성 통풍 발작 이후에 발생하는 상태로, 통증이 잦은 발작으로 일어나지 않으며, 영구적인 조직 손상을 초래할 수 있습니다. 만성 통풍은 발적 부위의 결절, 증식된 발적 또는 발작 없이 발적 부위가 늘어나는 것으로 나타날 수 있습니다.
관절 통증



통풍은 대개 발적을 침범하며, 발적 주위의 관절에서도 통증을 일으킬 수 있습니다. 대개 발목, 무릎, 발가락 등을 포함하며, 통증은 심할 때 걷는 것이 거의 불가능할 정도로 심해질 수 있습니다.
염증



급성 통풍 발작은 관절 내부에서 염증이 발생합니다. 이는 염증을 일으키는 화학 물질이 적출물로 발적 주위에 축적되기 때문입니다. 염증은 일반적으로 통증, 붓기, 붉어짐 등을 초래할 수 있습니다.
발적



발적 부위는 붉고 따끔거리며, 적출물로 인해 부어오를 수 있습니다. 이러한 발적은 대개 발작이 발생하는 부위에 나타나며, 발적이 심한 경우 걷는 것이 어려울 수 있습니다.
통풍 진단



의사는 통풍을 의심할 경우 환자의 증상 및 혈액 검사, 요산 수치 측정, 관절 내 유체 검사 등을 통해 진단할 수 있습니다.
통풍 치료방법
진통제 및 항염증제



- 관절 주변의 염증과 통증을 완화시키기 위해 사용됩니다.
- 일반적으로 콜키신, 나프록센, 인도메타신 등이 사용됩니다.
요산 제거제
- 요산 결정이 관절 주변에 축적되어 통풍을 유발하는 경우, 요산 결정을 제거해야 합니다.
- 알로푸리놀, 프로벤시드, 벤지오산 등의 약물이 사용됩니다.
항생제



- 통풍으로 인해 발생하는 감염을 예방하기 위해 항생제를 사용할 수 있습니다.
- 일반적으로 세파클로르, 아미노글루토메이드 등이 사용됩니다.
건강한 식습관
- 통풍 예방을 위해 적당한 식습관 개선이 필요합니다.
- 요산이 많이 포함된 육류, 고기, 생선, 해산물 등의 섭취를 줄이고, 식이섬유가 풍부한 과일, 채소, 견과류 등의 식품을 섭취하는 것이 좋습니다.
적절한 운동



- 운동을 통해 체중을 감량하고, 대사량을 개선할 수 있습니다.
- 대체적으로 적당한 유산소 운동이 권장됩니다.
알코올 섭취 제한
- 과도한 알코올 섭취는 통풍 발생 위험을 증가시키므로, 적절한 알코올 섭취가 필요합니다.
- 일반적으로 남성은 하루에 2잔 이하, 여성은 하루에 1잔 이하를 섭취하는 것이 좋습니다.
의학적 관리



- 통풍이 심한 경우, 의사의 치료 및 관리가 필요합니다.
- 상황에 따라서는 요산 결정 제거나 수술 등이 필요할 수 있습니다.
통풍이 발생할 가능성이 높은 고위험군에 속하는 사람들은 통풍 예방을 위해 규칙적인 건강 검진을 받고, 식습관과 생활 습관을 개선하는 등의 노력이 필요합니다. 특히, 높은 요산 수치를 가진 사람이나 가족력이 있는 사람들은 조기에 예방적인 노력을 하는 것이 좋습니다. 통풍은 지속적인 관리와 예방이 필요한 질환입니다. 따라서 통풍에 대한 이해와 치료, 예방에 대한 노력이 필요합니다.
자궁근종 증상 자세히 알아보기
자궁근종 증상 자세히 알아보기 자궁근종(Uterine fibroids)은 여성의 자궁 내에 발생하는 양성 종양으로, 자궁 내막이나 근층에서 생길 수 있습니다. 대부분의 경우, 이 종양은 악성 종양이 아니며,
wjdqhakstp.goodtory.kr
전립선에 좋은 음식 총정리
전립선에 좋은 음식 총정리 전립선은 남성에게 중요한 기관 중 하나로, 생식기와 함께 성기능과 관련된 역할을 하고 있습니다. 건강한 전립선을 유지하기 위해서는 적절한 식습관과 생활 습관
wjdqhakstp.goodtory.kr
협심증 초기증상 자세히 알아보기
협심증 초기증상 자세히 알아보기 협심증은 심장의 혈액 공급이 감소하여 심장 근육에 산소와 영양분 공급이 충분하지 않아 발생하는 증상입니다. 이는 일반적으로 심장 동맥의 협착으로 인해
wjdqhakstp.goodtory.kr
'건강생활' 카테고리의 다른 글
| 관절염에 좋은 음식 10가지 총정리 (0) | 2023.03.15 |
|---|---|
| 항암치료중 좋은음식 총정리 (0) | 2023.03.15 |
| 빈혈에 좋은 음식 12가지 총정리 (0) | 2023.03.15 |
| 골다공증에 좋은 음식 총정리 (0) | 2023.03.15 |
| 자궁근종 증상 자세히 알아보기 (0) | 2023.03.14 |
댓글