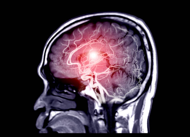
뇌동맥류 증상 자세히 알아보기



뇌동맥류는 뇌의 혈관이 벽의 약한 부분이나 손상으로 인해 팽창하거나 부풀어 오른 상태를 말합니다. 뇌동맥류는 일반적으로 증상이 없으며, 우연히 발견되기도 합니다. 그러나 뇌동맥류가 크거나 위치가 민감한 경우, 심각한 증상을 초래할 수 있어 이번 시간에는 뇌동맥류로 나타나는 증상에 대해 자세히 알아보도록 하겠습니다.
두통



뇌동맥류가 두통의 주요 원인 중 하나입니다. 뇌동맥류로 인한 두통은 일반적으로 갑작스럽게 시작되며, 매우 심하고 지속적인 통증을 유발합니다. 두통의 위치는 뇌동맥류가 위치한 부위와 관련이 있을 수 있습니다.
어지러움



뇌동맥류가 뇌의 혈액 공급을 방해할 수 있습니다. 이로 인해 어지러움, 혼란, 졸림, 폐쇄감 등의 증상이 발생할 수 있습니다. 이러한 증상은 일시적일 수도 있지만, 뇌동맥류의 크기와 위치에 따라 지속적으로 발생할 수도 있습니다.
시력 문제



뇌동맥류가 뇌 내의 시각 센터에 위치할 경우 시력 문제가 발생할 수 있습니다. 시력이 감소하거나 시야가 제한될 수 있습니다. 이러한 증상은 뇌동맥류가 크거나 위치가 민감한 경우에 더욱 뚜렷하게 나타날 수 있습니다.
언어 및 인지 기능 문제



뇌동맥류가 뇌의 언어나 인지 기능을 담당하는 부위에 위치할 경우, 말이 더듬거리거나 이해하는 데 어려움을 겪을 수 있습니다. 이러한 증상은 뇌동맥류의 위치와 크기에 따라 다양한 정도로 나타날 수 있습니다.
뇌졸중



뇌동맥류가 크거나 위치가 민감한 경우 뇌졸중을 초래할 수 있습니다. 뇌졸중은 뇌의 혈관에 혈전이 생기거나 출혈이 발생하여 뇌의 기능이 일시적으로 또는 영구적으로 손상되는 상태를 말합니다. 이러한 증상은 뇌동맥류의 위치와 크기에 따라 발생할 수 있으며, 응급 상황이므로 즉각적인 치료가 필요합니다.
신경학적 증상



뇌동맥류가 뇌의 신경계에 위치할 경우, 다양한 신경학적 증상이 나타날 수 있습니다. 예를 들어, 뇌동맥류가 뇌신경을 압박하거나 손상시킬 경우, 얼굴이나 팔다리의 일부분에 마비가 생길 수 있습니다. 또한, 뇌동맥류가 뇌 신경 중 일부를 자극하거나 압박할 경우, 귀 또는 얼굴의 일부분에서 불쾌한 감각이나 통증이 발생할 수 있습니다.
발작



뇌동맥류가 뇌의 일부분에 위치하거나 혈액 공급을 방해할 경우, 발작을 일으킬 수 있습니다. 발작은 뇌의 신경세포가 비정상적으로 활동하여 일시적으로 기능이 손상되는 상태를 말합니다. 뇌동맥류가 발작의 원인이 될 수 있으며, 이러한 증상이 나타날 경우 정확한 원인을 파악하고 적절한 치료를 시행해야 합니다.
혼수 상태



뇌동맥류가 출혈을 일으키거나 뇌의 혈액 공급을 심각하게 방해할 경우, 혼수 상태가 발생할 수 있습니다. 이러한 증상은 응급 상황으로 판단되며, 즉각적인 치료가 필요합니다. 뇌동맥류는 다양한 증상을 유발할 수 있으며, 이러한 증상이 나타날 경우 즉각적인 의료진의 진단과 치료가 필요합니다. 뇌동맥류의 크기와 위치에 따라 증상의 정도와 발생 가능성이 다르므로, 증상이 나타날 경우 반드시 전문의의 상담을 받아야 합니다.
갱년기 증상 30가지제대로 알아보기
갱년기 증상 30가지제대로 알아보기 갱년기는 여성의 생식기능이 서서히 감소하고 불규칙해지는 기간으로, 일반적으로 45세 이후부터 시작됩니다. 갱년기는 다양한 신체적, 정신적 증상을 유발
wjdqhakstp.goodtory.kr
손가락 마디가 아픈 이유 자세히 알아보기
손가락 마디가 아픈 이유 자세히 알아보기 우리 몸이 안좋을때는 정말 여기저기가 불편한 느낌이 생깁니다. 특히 손가락 같은 경우도 이러한 신체 부위 중 하나로 여러 이유로 인하여 손가락에
wjdqhakstp.goodtory.kr
다크 초콜릿 효능 10가지 알아보기
다크 초콜릿 효능 10가지 알아보기 다크 초콜릿은 카카오 함량이 높아 단백질, 칼슘, 마그네슘, 인, 칼륨, 철분 등 다양한 영양소를 함유하고 있어 건강에 좋다는 것이 알려져 있지만 과도한 섭취
wjdqhakstp.goodtory.kr
'건강생활' 카테고리의 다른 글
| 모야모야병 증상 제대로 알아보기 (0) | 2023.03.06 |
|---|---|
| 뇌출혈 전조 증상 자세히 알아보기 (0) | 2023.03.06 |
| 심부전증이란 증상과 예방 자세히 알아보기 (0) | 2023.03.06 |
| 분노조절 장애 증상 치료법 알아보기 (0) | 2023.03.06 |
| 다크 초콜릿 효능 10가지 알아보기 (0) | 2023.03.03 |
댓글