뇌출혈 전조 증상 자세히 알아보기



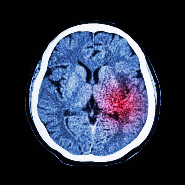
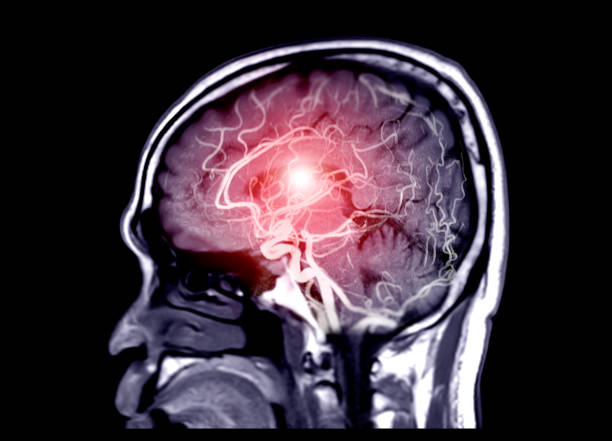
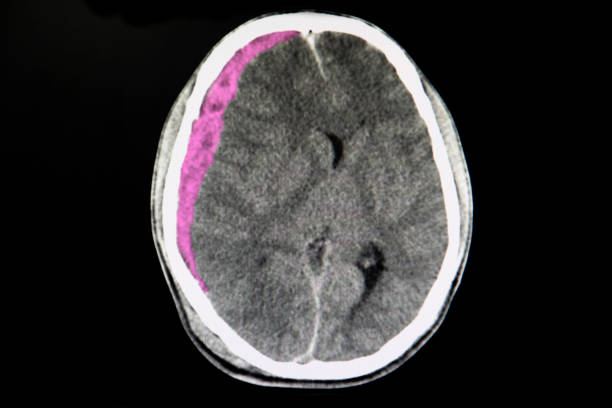
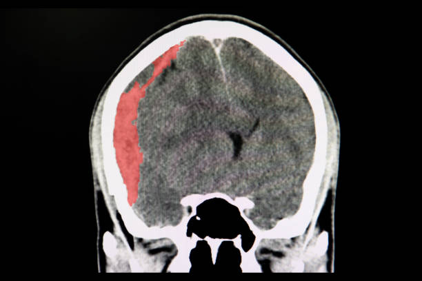
뇌출혈은 뇌안에 있는 혈관에서 출혈이 발생하여 뇌조직이 손상을 입는 질환이며, 중증의 뇌혈관질환 중 하나입니다. 일반적으로 고혈압, 동맥류, 혈관 기형, 혈전 등의 이유로 혈관이 파열하거나 뚫리면서 발생합니다.



고혈압은 뇌출혈을 일으키는 가장 일반적인 원인 중 하나입니다. 고혈압은 혈관벽을 약화시켜 혈관이 파열하기 쉽게 만들기 때문입니다. 또한, 혈관에 생긴 약간의 이상증상이나 동맥류, 혈관 기형 등도 뇌출혈의 원인이 될 수 있습니다.



뇌출혈은 갑작스러운 발작, 의식 잃음, 경련, 혼란, 언어 장애, 편마비 등의 증상을 일으키며, 이러한 증상이 발생하면 즉시 의료진의 진료를 받아야 합니다. 뇌출혈은 치료가 지연되면 심각한 후유증을 일으킬 수 있으므로, 조기 발견과 적절한 치료가 필요하기 때문에 이번 시간에는 뇌출혈 전조 증상에 대해 자세히 알아보겠습니다.
두통



뇌출혈 전조 증상 중 가장 흔한 증상으로, 갑작스러운 편두통이 발생합니다. 머리 아래쪽에서 시작되는 경우가 많으며, 강한 통증과 함께 눈앞이 어둡거나 희미해지는 경험을 할 수 있습니다. 두통이 지속되거나 심해지는 경우 뇌출혈 가능성이 높으므로 즉시 의료진의 진료를 받아야 합니다.
어지러움



몸이 불안정하거나 떨리는 느낌이 들며, 일어나거나 이동할 때 어지러워질 수 있습니다. 발생 시간이 짧고, 지속 시간이 짧은 것이 일반적입니다.
구토



갑작스럽게 구토가 발생할 수 있으며, 식사 후에 나타나거나 소량의 음식을 섭취한 후에도 발생할 수 있습니다. 구토가 지속되면 탈수와 전해질 불균형 등의 위험이 있으므로, 즉시 의료진의 진료를 받아야 합니다.
시력 변화



눈 앞이 어둡거나 눈이 부시게 느껴지는 경우, 흐리게 보이는 경우, 또는 일부 시야가 사라지는 것 같은 경험이 있을 수 있습니다. 이 증상이 발생하는 경우, 응급 상황일 가능성이 높으므로 즉시 의료진의 진료를 받아야 합니다.
말더듬



갑작스러운 말더듬이나 말이 더딘 증상이 나타날 수 있으며, 언어 이해나 사용에 어려움을 느낄 수 있습니다. 이 증상이 발생하는 경우, 뇌 출혈 가능성이 높으므로 즉시 의료진의 진료를 받아야 합니다.
미각 변화



음식의 맛이 갑자기 변하거나 느낌이 없어지는 경우가 있을 수 있습니다. 이 증상이 지속되거나 심해지는 경우 의료진의 진료를 받아야 합니다.
발작



갑작스러운 발작이나 경련이 발생할 수 있으며, 이러한 증상은 뇌출혈 전조 증상 중 가장 위험한 것 중 하나입니다. 발작이 발생하는 경우 즉시 의료진의 진료를 받아야 합니다.
졸음



갑작스러운 졸음이나 매우 깊은 잠에 빠지는 경우가 있을 수 있습니다. 이러한 증상은 일상적으로 경험하지 않는 수준의 졸음이나 피로감을 나타내며, 응급 상황일 가능성이 있으므로 즉시 의료진의 진료를 받아야 합니다.
혼동



혼란스러운 상태에 빠지는 경우가 있을 수 있습니다. 주변 상황을 이해하지 못하거나, 자신의 상황을 인식하지 못하는 등의 증상을 보일 수 있으며, 응급 상황일 가능성이 있으므로 즉시 의료진의 진료를 받아야 합니다.
감각 장애



갑작스러운 감각 이상이 발생할 수 있습니다. 손가락 끝이나 발가락 끝의 느낌이 없어지거나, 엄지 손가락과 나머지 손가락 사이의 감각 차이를 느끼는 경우가 있을 수 있습니다. 이러한 증상이 나타나면, 즉시 의료진의 진료를 받아야 합니다.
떨림



갑작스러운 떨림이나 몸이 허리케인과 같이 흔들리는 증상이 나타날 수 있습니다. 의식적으로 흔들리거나, 발생 시간이 짧고, 지속 시간이 짧은 것이 일반적입니다. 위와 같은 증상이 나타나면 즉시 의료진의 진료를 받아야 하며, 뇌출혈 전조 증상이 발생한 경우 병원으로 신속하게 이동하여 치료를 받아야 합니다. 뇌출혈은 심각한 질환이므로, 조기 발견과 조기 치료가 매우 중요합니다.
아랫배가 아픈 이유 자세히 알아보기
아랫배가 아픈 이유 자세히 알아보기 신체에 너무 많은 고통을 주지 않는 통증이지만 기분도 나쁘고 어떤 이유에서인가 불편감이 많은 증상은 통증으로 인한 고통보다는 느낌에서 불편감을 받
wjdqhakstp.goodtory.kr
갱년기 증상 30가지제대로 알아보기
갱년기 증상 30가지제대로 알아보기 갱년기는 여성의 생식기능이 서서히 감소하고 불규칙해지는 기간으로, 일반적으로 45세 이후부터 시작됩니다. 갱년기는 다양한 신체적, 정신적 증상을 유발
wjdqhakstp.goodtory.kr
손가락 마디가 아픈 이유 자세히 알아보기
손가락 마디가 아픈 이유 자세히 알아보기 우리 몸이 안좋을때는 정말 여기저기가 불편한 느낌이 생깁니다. 특히 손가락 같은 경우도 이러한 신체 부위 중 하나로 여러 이유로 인하여 손가락에
wjdqhakstp.goodtory.kr
'건강생활' 카테고리의 다른 글
| 구강암 초기증상 자세히 알아보기 (0) | 2023.03.07 |
|---|---|
| 모야모야병 증상 제대로 알아보기 (0) | 2023.03.06 |
| 뇌동맥류 증상 자세히 알아보기 (0) | 2023.03.06 |
| 심부전증이란 증상과 예방 자세히 알아보기 (0) | 2023.03.06 |
| 분노조절 장애 증상 치료법 알아보기 (0) | 2023.03.06 |
댓글